歯の治療だけでは解決しない
「インプラントが抜けたり、折れてしまった。噛み合わせがしっくりこない。ぐらつき、痛み、痺れ、顎の疲れといった問題が起きている」
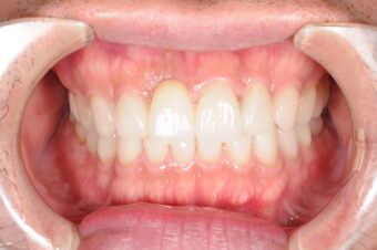
「せっかく時間をかけて矯正やホワイトニングをしたのに、いつの間にか元に戻ってしまった」
「何年も歯科院に通っているのに、いつまでも治療が終わらない」
「無呼吸症候群や顎関節症に苦しんでいる」
「顔の表情が乏しく、笑顔も不自然。生き生きとした表情ができず、人に暗い印象を与えてしまっている」
これらの原因は、歯だけでなく、あなたの顎(あご)にあるかもしれません。
生物である人の体の各器官には、本来あるべき形、あるべき位置があります。また、それぞれの器官が単独で動いているのではなく、互いに影響しあい、補いながら機能しています。
それは、歯も同じこと。本来あるべき歯の位置、大きさ、歯並びがあり、顎や表情筋など周囲の器官と連携しながら機能しています。ですから、歯の治療をしっかりしたはずなのに何らかの不具合や体の不調が起きる場合、歯はもちろん、その根本原因をしっかり見つめ直す必要があります。
セオリツデンタルクリニックは、歯だけでなく、顎関節の位置を正常に戻すなど、生物学的見地から体全体を見つめ直し、人が本来持つ健康と美を取り戻します。
veggy (ベジィ) vol.85 2022年12月号にて、
「自律神経のととのえかた」というテーマの中でより深くお話をさせていただく機会をいただきましたので、ぜひご参照ください。
