完全予約制 / 自費診療 ご予約・お問い合わせ
03-5422-8884
カンタン10秒
Web予約
© Seoritsu Dental Clinic. all right reserve.
MENU
ホーム
セオリツデンタルクリニックについて
医師紹介
OBIの治療について
設立の背景
治療の流れ
診療内容と対象となる方
最新の事例
お知らせ
アクセス情報
診療のご予約
医療連携
ブログ
CASE STUDY
最新の事例
歯ぎしり、無呼吸、不眠、疲労感……。口腔機能を本来あるべき姿に戻し、体全体の不調を改善
2021.06.30
治療
噛み合わせ/インプラント/根管治療
期間
2年
対象
Aさん。32歳。男性。
上顎前突、口呼吸、発音障害……。子供のうちに改善し、健全な口腔機能を育む
2021.04.20
治療
非矯正による噛み合わせなど口腔機能の改善
期間
3年
対象
Bさん。女性。8歳
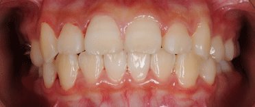
精密に計算された矯正で一生後戻りしない歯に
2021.04.20
治療
IDBによる矯正
期間
4年
対象
Cさん。女性。41歳
自然で美しい歯を実現するバイオエステティック
2020.12.26
治療
噛み合わせ/バイオエステティック
期間
2年
対象
Dさん。女性。28歳