
せっかく矯正を施してキレイな歯並びになっても、時間が経つにつれ元に戻ってしまったり、噛み合わせが悪くなるケースが数多く見受けられます。これは、過去に受けた矯正が正確なものでなかったことなどが原因です。

C さんは中学生から高校生にかけて矯正を行いましたが、40代になると歯並びが悪化。噛み合わせが悪くなり、食いしばりも起きるようになりました。さらに、しっかりとした咀嚼ができず、怠さなど体の不調を訴えるようになりました。
一般的な日本の矯正は、医師の経験や感だけでワイヤー(ブラケット)を取り付けるやり方です。一見、キレイな歯並びに見えても、根の部分の角度が正確でなかったり、歯が平行につけられていないと時間が経つごとに元に戻ってしまいます。C さんの歯並びが悪くなってしまったのは、中・高校生の時に受けた矯正が正確な数値に基づいて行われていなかったため。
過去に受けたのと同じ矯正方法では、また元に戻ってしまう恐れがあります。そこで、生物学的に人としてあるべき姿、位置に照らし合わせて厳密な矯正を行う IDB(インダイレクトボンディングシステム=間接接着法)を選択しました。
——–
ご本人の希望、お気持ちをじっくりお聞きした上で、OBIの考え方、手法を説明。Cさんの理想の口腔機能や顔貌のイメージを共有します。
IDBは、医師の感覚だけで患者様に直接ワイヤー(ブラケット)を着けるやり方ではなく、まず患者様の正確な口内の模型を作成。それを使ってシミュレーションを繰り返し、ブラケットの位置を決定した後に患者様に着けていきます。


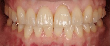
治療前と治療後での状態を比べてみましょう。
治療前

治療後

歯並びが良くなり、見た目の美しさはもちろん、しっかりとした咀嚼や嚥下ができるようになり、怠さなども改善していきました。
患者さんが治療内容を理解せず、または治療に協力しない場合や、経済的に負担が大きすぎて支払いが難しい場合、または歯の残存数が24本以下であり、歯周病によって歯が動揺している場合など、治療が不可能な場合があります。
また、骨格性の問題がある場合は外科的処置が必要となることがありますが、通常副作用はありません。
歯科も医療の一つです。咀嚼、嚥下、呼吸などで重要な役割を果たす歯を中心とした口腔機能は、体全体に大きな影響を及ぼします。例えば、呼吸が浅いと体に 酸素が行き渡らず、がんなどのリスクも高まります。ですから、口腔機能に問題が生じた場合、ほっておかず、しっかりと治療を受けましょう。
36回
220万
(検査・診断、処置費用等を含む)