完全予約制 / 自費診療 ご予約・お問い合わせ
03-5422-8884
カンタン10秒
Web予約
© Seoritsu Dental Clinic. all right reserve.
MENU
ホーム
セオリツデンタルクリニックについて
医師紹介
OBIの治療について
設立の背景
治療の流れ
診療内容と対象となる方
最新の事例
お知らせ
アクセス情報
診療のご予約
医療連携
ブログ
SEORITSU BLOG
ブログ
ブログカテゴリ
全て
治療について
再治療のないことの大切さ
2026.03.09
治療について
東京都渋谷区恵比寿にあるかみ合わせ専門歯科医院の院長ブログです。皆様のご参考になれば、幸いです。当院は、自由診療という形で診療を行っております。どのような患者さんが来られるかと…
金属の詰め物を変えるために考慮すべきこと
2026.01.16
治療について
セオリツデンタルクリニックの院長ブログです。不定期ながら、歯科医療、治療について投稿しております。皆様のご参考になれば幸いです。金属アレルギーを心配され、金属をセラミック、レジ…
本質の審美治療とは?
2025.01.06
治療について
東京都渋谷区恵比寿、セオリツデンタルクリニックのお知らせです。当院は、本質の治療を提供している医院です。数件の歯科医院に受診を受けたものの既存の治療では良い結果が望まれない患者さん…
お口の中を永続的に健康を維持するには?
2025.01.06
治療について
東京都渋谷区恵比寿にあるセオリツデンタルクリニックのブログです。少しずつですが、歯科治療について説明していこうと思っております。お口の中を永続的に健康を維持するには、…
本質の治療について⑪
2022.11.14
治療について
東京都渋谷区恵比寿にあるセオリツデンタルクリニックのブログです。健康の分野にて情報を提供しているveggyに掲載していただきました。今回の特集は「自律神経を整えること」でした。…
本質の治療について⑩
2022.11.07
治療について
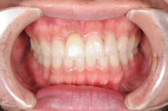
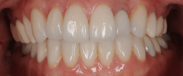
東京都渋谷区恵比寿にあるセオリツデンタルクリニックのブログです。ご参考にしていただければ幸いです。当院では、リカバリー治療もおこなっております。例えば、写真の患者さん…
本質の治療について⑨
2022.11.07
治療について
東京都渋谷区恵比寿にあるセオリツデンタルクリニックのブログです。歯科治療というと、実際は削って詰める、かぶせる。こんなイメージしかないのでは…
本質の歯科治療について⑧
2022.11.04
治療について
東京都渋谷区恵比寿にあるセオリツデンタルクリニックのブログです。プライベート診療の必要性患者さんの中には、本当に困っている方がいます。いろいろ歯科医院に受診したけど、治療は難し…
本質の歯科治療について⑦
2022.11.04
治療について
東京都渋谷区恵比寿にあるセオリツデンタルクリニックのブログです。生物学に基ずく審美歯科(バイオエステティックス)と審美歯科の違い日本の審美歯科というと写真のようなイメージです。…
本質の歯科治療について⑥
2022.11.04
治療について
東京都渋谷区恵比寿にあるセオリツデンタルクリニックのブログです。インスタグラムに投稿していたものをこちらにも投稿いたします。精密検査の必要性当院の治…
1 / 2
1
2
>